文献解读 | 胶原蛋白海绵与骨粉在种植位点保存技术中的效果评价
文献解读 | 胶原蛋白海绵与骨粉在种植位点保存技术中的效果评价
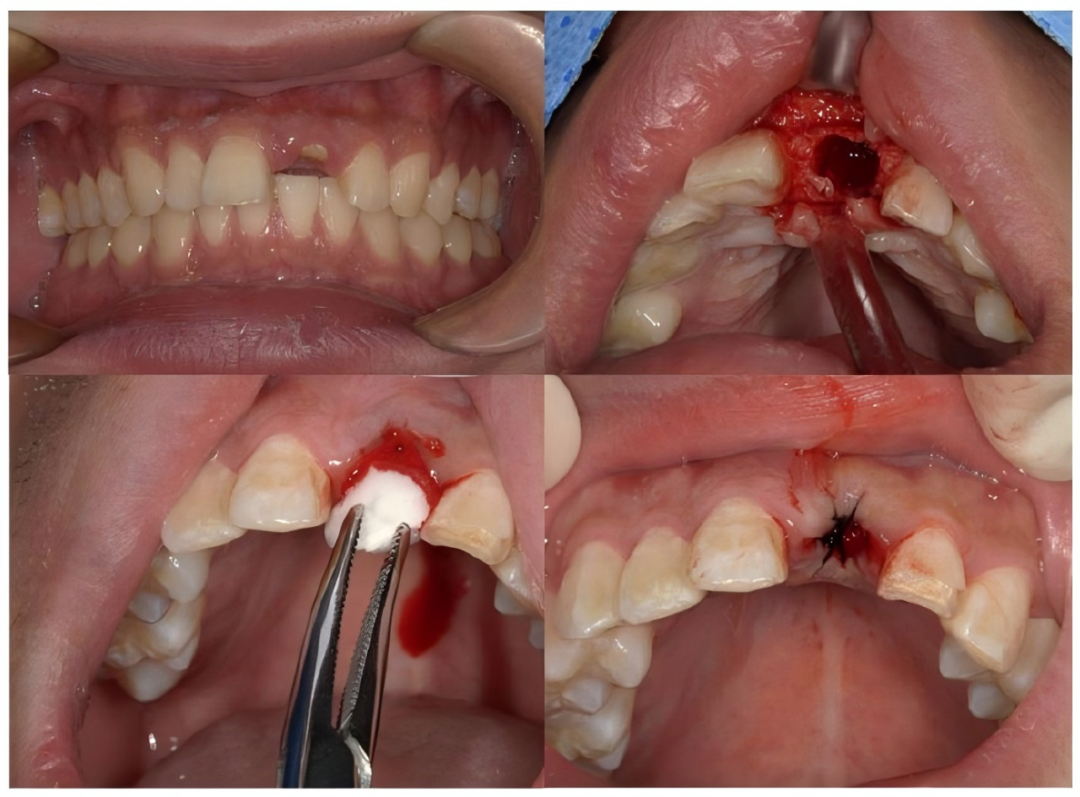
内蒙古医科大学的一篇研究文献【1】中,应用博纳塞口腔专用胶原蛋白海绵与骨粉做了相关实验对比:将90 名前牙拔除患者被分成三组,A、B两组进行位点保存,C组正常自然愈合,其中A组:博纳塞口腔专用胶原蛋白海绵;B组:小牛骨粉。
一.术后30min出血率:
一.术后30min出血率:
实验结果显示:拔牙30min后,观察三组出血情况,A、B组患者出血率远低于C自然愈合组,表示两种材料对拔牙窝出血情况有积极作用,可以减少拔牙术后出血风险,且A组(博纳塞)即时止血效果更显著。
二.术后10天拆线愈合情况:

结果显示:术后10天,观察三组愈合情况,A、B组优于C组,其中A组(博纳塞)70%以上患者可达甲级一期安全愈合,术后反应小于两组,且无一例感染。
三.术前术后牙槽骨对比情况:

数据显示:经术前术后3、6个月牙槽骨高度、宽度的对比观察,表示在减少牙槽骨高度、宽度丧失方面,小牛骨粉组表现最佳,博纳塞组紧随其后,自然愈合组最差。
综上所述,自然愈合无法达到位点保存的效果,博纳塞口腔专用胶原蛋白海绵可初步达到位点保存,小牛骨可以达到预期最佳位点保存。在拔牙窝位点保存填充材料的选择中,相比传统外科胶原蛋白海绵,博纳塞是根据口腔环境特点研发的口腔专用胶原蛋白海绵,其胶原含量及密度是外科的三倍,可在愈合前期,提供稳定的组织修复支架,初步维持硬软组织的轮廓,防止早期塌陷,是稳定血凝块、促进修复、支撑占位综合功效较全面的再生材料。
拔牙要塞“博纳塞”
博纳塞口腔专用胶原蛋白海绵,是经专家共识,对于拔牙、种植、牙周等手术,可作为填充占位,并有效止血的理想修复材料,且对于前牙嵌入型脱位愈合失败伴骨坏死的特殊拔牙窝位点保存中,博纳塞使用后的美学效果也很理想【2】。综上内容可知,对于牙槽骨吸收不严重,或后期选择常规义齿修复等需要软硬组织共同保障的情况,博纳塞是拔牙窝早期干预相对安全,性价比较高的解决方式【3】。




发布日期:2026-02-13 12:09
分享到:
阅读更多文章
